TEST31887

Curetaje dental: Todo lo que debes saber sobre este tratamiento esencial

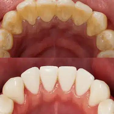
Raspado y alisado radicular | curetaje dental

Tabla de contenidos

El curetaje dental es un tratamiento fundamental para mantener la salud periodontal. Se centra en eliminar la placa y el sarro acumulado debajo de la línea de las encías, previniendo problemas graves como la periodontitis. Nuestra clínica dental Montse Timoneda, dirigida por la Dra. Montse Timoneda, especialista en implantes dentales, ofrece este tratamiento como parte de su compromiso con la salud bucodental de sus pacientes en Tarragona.

curetaje dental en clinica dental montse timoneda

Conceptos clave sobre el curetaje dental

El curetaje dental es un procedimiento que desempeña un papel fundamental en el tratamiento de enfermedades periodontales. Es esencial comprender varios aspectos que rodean este tratamiento para reconocer su importancia y aplicación adecuada.

Definición y características del tratamiento

El curetaje dental, en términos simples, consiste en una limpieza profunda que aborda la eliminación de bacterias y el sarro acumulados en las raíces dentales. Este procedimiento es específico para aquellos que presentan problemas en las encías, como la gingivitis o la periodontitis. Para llevar a cabo este tratamiento, se requieren herramientas especializadas, que permiten acceder a áreas que no son alcanzadas en una limpieza dental estándar.

Diferencias entre curetaje y limpieza dental convencional

Es crucial distinguir entre el curetaje y la limpieza dental convencional, dado que cada uno tiene sus propios objetivos y metodologías. Mientras que la limpieza dental convencional se centra en la superficie de los dientes, utilizando técnicas más generales, el curetaje implica un enfoque más minucioso. Se enfoca en las raíces de los dientes y elimina de manera efectiva la placa y el sarro que han penetrado en la línea de las encías.

Raspado y alisado radicular: técnica y función

Dentro del proceso del curetaje, se incluye una técnica conocida como raspado y alisado radicular. Esta técnica es fundamental para tratar las bolsas periodontales. El raspado se realiza para remover la placa y el sarro incrustados, mientras que el alisado radicular suaviza las superficies de las raíces dentales. Unos acabados lisos son esenciales, ya que previenen la recolección de bacterias en el futuro, ayudando así a mantener la salud periodontal a largo plazo.

Importancia del curetaje en la salud bucodental

La relevancia del curetaje dental no puede ser subestimada. Este tratamiento no solo facilita la eliminación de la inflamación de las encías, sino que también es esencial para detener la progresión de la enfermedad periodontal, que, si no se aborda, puede derivar en pérdida de dientes. La clínica dental Montse Timoneda ha servido como un referente en Tarragona para este tipo de tratamientos. Así, el curetaje se convierte en un pilar en el mantenimiento de una boca sana y funcional, contribuyendo a una mejor calidad de vida y estética dental.

importancia del curetaje dental en la salud bucodental

Factores que motivan la realización de un curetaje

La necesidad de un curetaje dental surge principalmente por la acumulación de placa y sarro, que pueden degenerar la salud periodontal. Existen diversas razones que justifican este procedimiento, las cuales se detallan a continuación.

Causas de la acumulación de placa bacteriana y sarro

El principal factor que contribuye a la acumulación de estas sustancias en la boca es la falta de una higiene dental adecuada. Con el tiempo, la placa bacteriana se endurece y se transforma en sarro, formando un ambiente propicio para las enfermedades periodontales.

curetaje dental realizado

Entre las causas más comunes se encuentran:

  • Higiene oral deficiente.
  • Factores genéticos que predisponen a ciertas personas a enfermedades de las encías.
  • Consumo de tabaco, que interfiere en la capacidad de sanar de las encías.
  • Enfermedades sistémicas, como diabetes, que afectan la salud bucal.
  • Dieta inadecuada rica en azúcares y carbohidratos.

Cómo la placa bacteriana afecta la encía y el hueso

La acumulación de placa bacteriana no tratada provoca inflamación en las encías, llevando a condiciones como la gingivitis y, si no se aborda, a la periodontitis. Esta progresión puede resultar en la destrucción de los tejidos que soportan los dientes, lo cual afecta el hueso maxilar y puede causar pérdida dental. La inflamación también genera malestar y sensibilidad en las encías, contribuyendo a problemas adicionales de salud oral.

Síntomas que indican la necesidad de un curetaje

Identificar síntomas que sugieren la presencia de una enfermedad periodontal es esencial para determinar la urgencia de realizar un curetaje dental. Los siguientes signos son indicadores clave:

Sangrado e inflamación de las encías

Las encías que sangran durante el cepillado o presentan enrojecimiento son una señal clara de que hay un problema subyacente. Este es uno de los síntomas más comunes que indican que se requiere un tratamiento periodontal.

Movilidad y pérdida de piezas dentales

La movilidad dental es un signo alarmante que puede ser indicativo de una pérdida ósea significativa en la mandíbula, que exige atención inmediata. La pérdida de dientes puede ocurrir si el proceso inflamatorio no se detiene a tiempo.

Mal aliento persistente

Un aliento desagradable que no mejora con el cepillado es un síntoma que puede asociarse a la acumulación de placa y problemas en las encías. Esto puede ser un indicativo de una infección que requiere un curetaje para su erradicación.

mal aliento persistente | curetaje dental

Diagnóstico periodontal: el papel del periodontograma

Para determinar la gravedad de la enfermedad periodontal, el periodontograma es una herramienta fundamental que los dentistas utilizan. Este diagnóstico implica una evaluación detallada de la profundidad de las bolsas periodontales y la posible pérdida de hueso, proporcionando una visión clara del estado de la salud dental del paciente. Un diagnóstico preciso es clave para elaborar un plan de tratamiento adecuado y eficaz.

Procedimiento del curetaje dental

El procedimiento del curetaje dental es un proceso meticuloso que busca eliminar la acumulación de placa y sarro en las raíces dentales. Este tratamiento debe realizarse en un entorno controlado y sigue una serie de pasos para garantizar su efectividad.

Evaluación previa y preparación del paciente

Antes de llevar a cabo el curetaje, se realiza una evaluación exhaustiva de la salud bucodental del paciente. Esto implica un examen clínico donde se investiga la profundidad de las bolsas periodontales y el estado general de las encías. La Dra. Montse Timoneda, especialista reconocida en implantología y directora de la clínica dental Montse Timoneda en Tarragona, se encarga de analizar cada caso de manera individual.

La preparación del paciente es fundamental, asegurándose de que esté informado sobre el procedimiento y los cuidados necesarios. Esta fase ayuda a minimizar la ansiedad y a garantizar que el tratamiento se desarrolle sin complicaciones.

Técnicas manuales y uso de tecnología en la eliminación de la placa

Para la eliminación de la placa bacteriana y el sarro, se utilizan técnicas manuales y diferentes tipos de tecnología.

Instrumentos manuales: curetas y raspadores

Las curetas son instrumentos específicos diseñados para raspar suavemente las raíces de los dientes, retirando el biofilm y el sarro. Los raspadores tienen una forma que permite acceder a áreas difíciles y asegurar una limpieza profunda. Estos instrumentos requieren de habilidades adecuadas para su correcta utilización.

Tecnologías avanzadas: ultrasonidos y sistemas Airflow

La tecnología ha revolucionado el tratamiento periodontal. Los dispositivos de ultrasonido permiten una eliminación más efectiva y rápida de las acumulaciones de placa. Por otro lado, el sistema Airflow utiliza aire, agua y bicarbonato de sodio para limpiar los dientes de manera menos invasiva, lo que ayuda a aumentar la comodidad del paciente y a disminuir la sensibilidad post-tratamiento.

Alisado radicular para prevenir la adhesión bacteriana

Tras la eliminación de la placa y el sarro, se procede al alisado radicular. Este paso es esencial, ya que se busca suavizar las superficies de las raíces. De este modo, se reduce el riesgo de que las bacterias se adhieran nuevamente a estas áreas. Un alisado adecuado promueve una recuperación más rápida de las encías y ayuda a su cicatrización.

Anestesia local y control de molestias durante el tratamiento

Para garantizar que el paciente se sienta cómodo durante el procedimiento, se utiliza anestesia local. Este tipo de anestesia minimiza las molestias, permitiendo que el dentista trabaje con precisión y sin causar dolor innecesario. Es normal que, tras el tratamiento, se experimenten algunas molestias, que suelen ser controladas con medicamentos antiinflamatorios recomendados por el profesional.

La atención al detalle durante el procedimiento del curetaje dental es crucial para asegurar el éxito del tratamiento y la salud a largo plazo de las encías.

Anestesia local y control de molestias durante el tratamiento del curetaje dental

Recuperación post-curetaje y cuidados en casa

El proceso de recuperación tras un curetaje dental es fundamental para garantizar una adecuada sanación de las encías y la salud periodontal. Durante esta fase, es importante seguir ciertas recomendaciones para facilitar la recuperación y minimizar cualquier tipo de complicación.

Control del sangrado y manejo de las molestias

Es habitual presentar ligeros episodios de sangrado tras el procedimiento. Esta situación puede ser controlada siguiendo algunas pautas. Es recomendable evitar la ingesta de alimentos duros o muy calientes que puedan irritar la zona tratada. Se aconseja utilizar compresas frías en el exterior de la cara para reducir la inflamación.

En caso de experimentar molestias, se pueden administrar analgésicos recomendados por el dentista. La comunicación con el profesional es esencial para resolver cualquier duda que surja durante la recuperación.

Higiene bucodental específica tras el curetaje

Mantener una higiene bucodental estricta es vital después del curetaje. Esto no solo ayuda a evitar infecciones, sino que también acelera el proceso de curación.

Uso de cepillos interdentales y enjuagues con clorhexidina

  • Se recomienda el uso de cepillos interdentales para limpiar adecuadamente los espacios entre los dientes y las encías.
  • El enjuague con soluciones de clorhexidina puede ser aconsejado para controlar la acumulación de bacterias y promover una correcta sanación de las encías.

Consejos para evitar irritaciones en las encías

Es fundamental evitar el cepillado agresivo en las zonas tratadas. Los cepillos suaves son ideales para esta etapa. Asimismo, evitar alimentos ácidos o picantes contribuirá a una recuperación más cómoda y rápida.

Citas de revisión y seguimiento periodontal

Las citas de revisión son esenciales para evaluar el progreso de la sanación. Durante estas visitas, se examinará la profundidad de las bolsas periodontales y se confirmará la efectividad del tratamiento realizado.

Evaluación de la profundidad de las bolsas periodontales

Un análisis periódico permitirá al dentista monitorizar la salud periodontal, ajustando el plan de tratamiento en caso de ser necesario. Este seguimiento es crucial para detectar cualquier signo de complicación a tiempo.

Importancia del mantenimiento y tratamientos complementarios

La fase de mantenimiento es parte integral del éxito a largo plazo. Puede incluir limpiezas profesionales y, en algunos casos, tratamientos complementarios para garantizar una salud dental óptima. La clínica dental Montse Timoneda enfatiza la importancia de estas consultas regulares para sus pacientes.

Beneficios y resultados esperados del curetaje dental

El curetaje dental ofrece múltiples beneficios significativos para la salud bucodental. A continuación, se exploran los resultados esperados tras este tratamiento crucial en la odontología.

Detención de la progresión de la enfermedad periodontal

Una de las principales ventajas del curetaje dental es su capacidad para frenar la progresión de la enfermedad periodontal. Esta intervención está diseñada para eliminar la placa bacteriana y el sarro que se acumulan bajo las encías. Al realizar esta limpieza profunda, se detiene la inflamación y se previene la pérdida de hueso y del tejido de las encías, factores que suelen agravar las condiciones periodontales. Este enfoque proactivo puede ser decisivo para mantener la salud dental a largo plazo.

Mejora en la estética dental y salud de las encías

El impacto del curetaje también se refleja en la estética de la sonrisa. Tras el procedimiento, las encías tienden a recuperar su color rosado y saludable, lo que resulta en una mejora visible en la apariencia general de la boca. Al eliminar la inflamación y el sangrado asociado a enfermedades periodontales, el paciente experimenta una mayor sensación de bienestar. La salud de las encías no solo es fundamental para la estética dental, sino que también se relaciona con la confianza y la calidad de vida de las personas.

mejora en la estetica dental y salud de las encias | curetaje dental

Impacto positivo en prótesis e implantes dentales

La intervención del curetaje dental tiene un efecto directo en la longevidad y efectividad de las prótesis e implantes dentales. Un tejido periodontal sano es vital para el éxito de estos tratamientos. Al limpiar profundamente las áreas afectadas, se optimizan las condiciones para la integración adecuada de los implantes y la retención de las prótesis. Esta relación es crucial, ya que tanto los implantes como las prótesis requieren de una base bucal que soporte su función.

Casos clínicos y resultados en pacientes de la Clínica dental Montse Timoneda

En Clínica dental Montse Timoneda hemos observado resultados significativos en pacientes que se han sometido a curetajes dentales. Diversos casos clínicos han demostrado que, tras este tratamiento, los pacientes experimentan una notable reducción en los síntomas de la enfermedad periodontal y una mejora general en la salud bucodental. Con la dirección de la Dra. Montse Timoneda, se garantiza un enfoque personalizado y efectivo, contribuyendo a largas trayectorias de éxito en el mantenimiento de la salud oral.

Preguntas frecuentes sobre curetajes dentales

El curetaje dental es un tema de gran interés y concernimiento para aquellos que buscan mejorar su salud bucal. A continuación, se responden algunas de las inquietudes más comunes relacionadas con este tratamiento.

¿Duele un curetaje dental? Manejo del dolor y molestias

El curetaje dental puede causar ciertas molestias, pero en general, el procedimiento se realiza bajo anestesia local para garantizar la comodidad del paciente. La mayoría de las personas no experimentan un dolor significativo durante el tratamiento gracias a los avances en técnicas y tecnología dental. Sin embargo, podría haber ligeras molestias durante y después del procedimiento, que pueden ser manejadas con analgésicos recomendados por el dentista.

Duración del proceso y tiempo para la recuperación completa

Un curetaje dental típicamente dura entre 1 a 2 horas, dependiendo de la gravedad de la enfermedad periodontal y la cantidad de áreas a tratar. En cuanto a la recuperación, los pacientes suelen experimentar una recuperación inicial rápida, pero la cicatrización completa de las encías puede llevar varias semanas. Es crucial seguir las indicaciones del dentista respecto a cuidados posteriores para asegurar una recuperación óptima.

Precio del curetaje dental: factores que influyen en el coste

El costo del curetaje dental puede variar según diversos factores. Estos incluyen la gravedad de la enfermedad periodontal, la duración del tratamiento, y si se necesitan procedimientos complementarios. En la clínica dental Montse Timoneda, ofrecemos un diagnóstico exhaustivo que permite personalizar la atención y proporcionar un presupuesto adecuado a cada caso.

¿Es necesario realizar un curetaje con regularidad?

La frecuencia con que se debe realizar un curetaje dental depende de la salud periodontal de cada paciente. Para aquellos con antecedentes de enfermedades periodontales, se pueden requerir curetajes periódicos para mantener la salud de las encías y prevenir recaídas. Consultar con el dentista sobre el plan de tratamiento adecuado es fundamental para establecer un mantenimiento adecuado.

Diferencias con otros tratamientos de periodoncia y ortodoncia

El curetaje dental se centra en la limpieza profunda de las raíces para tratar enfermedades periodontales, en contraste con otros tratamientos de ortodoncia que se ocupan de alinear los dientes. Mientras que el curetaje busca eliminar la causa de la enfermedad periodontal, las ortodoncias se centran en la estética y funcionalidad dental. Es importante distinguir entre estos tratamientos para entender las necesidades específicas de cada paciente en la clínica dental Montse Timoneda.

Aspectos visuales y educativos sobre el curetaje dental

La visualización de los procedimientos asociados al curetaje dental y su evolución es fundamental para comprender su importancia y efectividad en la salud bucodental. Se destacan a continuación las representaciones gráficas y el impacto en la recuperación dental.

Fotos del procedimiento y evolución tras el tratamiento

Las imágenes del curetaje dental muestran de manera clara los distintos momentos del procedimiento. Estas fotos pueden incluir:

  • Imágenes del antes y después del tratamiento, mostrando el estado inicial de las encías y su evolución tras el curetaje.
  • Fotografías del ambiente clínico donde se realiza el procedimiento, que ayudan a familiarizar a los pacientes con el entorno de la consulta.
  • Imágenes de herramientas empleadas durante el tratamiento, como curetas y otros instrumentos, que evidencian la precisión y cuidado del proceso.

Representación gráfica de la acumulación y eliminación de placa bacteriana

La acumulación de placa bacteriana es un problema común que afecta a la salud periodontal. Representaciones gráficas pueden incluir:

  • Diagramas que muestran cómo se forma la placa y la transición hacia el sarro.
  • Gráficas que ilustran el proceso de eliminación de placa durante el curetaje, enfatizando la diferencia con limpiezas dentales convencionales.
  • Comparativas visuales que destacan la eficacia del curetaje en la reducción de la inflamación y el sangrado de las encías.

Cómo se aprecia la recuperación de las encías y hueso periodontal

La recuperación tras el curetaje dental es observable y se puede documentar a través de imágenes. Algunos aspectos relevantes incluyen:

  • Fotos del proceso de curación de las encías, mostrando la reducción de la inflamación y la restauración de su color saludable.
  • Imágenes radiográficas que evidencian la reconstitución del hueso periodontal, permitiendo observar la efectividad del tratamiento a nivel óseo.
  • Documentación visual del seguimiento en citas posteriores, resaltando la importancia del mantenimiento periodontal para prolongar los resultados positivos obtenidos.

Avances y tecnologías en odontología para el curetaje

En los últimos años, la odontología ha experimentado un notable avance en la tecnología utilizada para realizar procedimientos de curetaje. Estas innovaciones permiten mejorar la efectividad y eficiencia del tratamiento, ofreciendo una solución más eficiente y cómoda para los pacientes.

Integración de nuevos instrumentos en clínicas dentales modernas

Las clínicas dentales modernas están incorporando herramientas avanzadas que mejoran la calidad del tratamiento periodontal. Entre los instrumentos más destacados se encuentran:

  • Curetas ultrasónicas: Facilitan la eliminación del sarro de manera eficaz, reduciendo el tiempo de tratamiento.
  • Equipos de rayos láser: Permiten una desinfección precisa y menos invasiva de las encías, promoviendo una recuperación más rápida.
  • Instrumentos manuales ergonómicos: Diseñados para confort y precisión, optimizando la técnica del dentista durante el curetaje.

Ventajas de la tecnología no invasiva en el tratamiento periodontal

La adopción de técnicas no invasivas ha transformado la manera en que se realizan los curetajes. Estas tecnologías ofrecen múltiples beneficios significativos:

  • Menor dolor y malestar: Los métodos menos invasivos tienden a generar menos incomodidad durante y después del procedimiento.
  • Recuperación más rápida: La reducción en el trauma a los tejidos permite que los pacientes sanen más pronto.
  • Resultados precisos: Las tecnologías como el ultrasonido y los láseres garantizan la eliminación completa de bacterias sin dañar los tejidos circundantes.

Papel de la Clínica dental Montse Timoneda en la innovación odontológica en Tarragona

La clínica dental Montse Timoneda se destaca en Tarragona por su compromiso con la innovación y la calidad en el cuidado periodontal. Incorporamos las últimas tecnologías en los tratamientos, garantizando resultados óptimos para nuestros pacientes. Esta apuesta por el avance tecnológico se refleja en la implementación de procedimientos que no solo son efectivos, sino que también priorizan el bienestar de cada paciente.

Los avances en las técnicas de curetaje en nuestra clínica han permitido mejorar significativamente la salud dental de los pacientes. Gracias a la integración de nuevos instrumentos y tecnologías, se puede ofrecer un tratamiento más cómodo y efectivo, contribuyendo a una mejor calidad de vida para quienes requieren cuidados periodontales.

 

En la Clínica Dental Montse Timoneda sabemos que la salud de tus encías es clave para conservar tus dientes y tu bienestar general. Por eso, realizamos curetajes dentales con técnicas avanzadas que eliminan la infección, detienen la enfermedad periodontal y devuelven la salud a tu sonrisa con la máxima precisión y confort.

No ignores las señales como el sangrado o el mal aliento. Actuar a tiempo puede evitar problemas mayores. Pide tu cita hoy mismo llamándonos al 977 225 928 y protege tu salud bucodental con un tratamiento eficaz y personalizado.

Dra. Montse Timoneda Cervantes

Directora médica en Clínica Dental Montse Timoneda

Desde muy joven la Dra. Montse Timoneda manifestó una gran pasión por el Oficio de Odontólogo, cuando con solo 14 años lo descubrió en su primera visita al dentista. Actualmente la Dra. Timoneda desarrolla su actividad desde hace más de veinte años en su Clínica Dental en el centro de Tarragona, siempre con la premisa de ejercer su profesión desde la nobleza, la sensibilidad y la excelencia profesional, entendiéndola como un reto y a la vez como algo muy humano. Los excelentes resultados en los más de 15.000 pacientes tratados por la Doctora avalan su trayectoria, siendo ésta una gran motivación para realizar su labor con entrega y orgullo cada día.

 dental@montsetimoneda.com  http://montsetimoneda.com/

🎄Horario Navidad 🎄

24 de Diciembre – 9:00h a 17:00h
25 y 26 de Diciembre  – Cerrado
29 y 30 de Diciembre – 9:00h a 16:30h
31, 1, 2, 5 y 6 de Diciembre – Cerrado